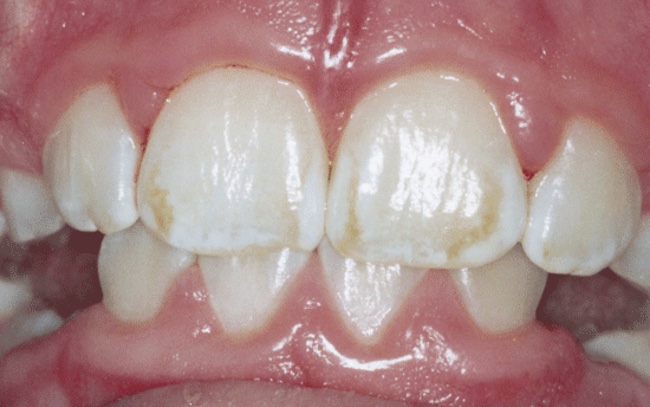
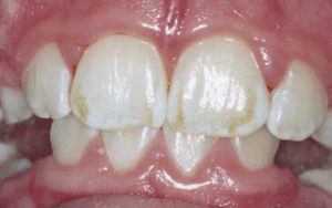
Кариес
Лечение зубов
Удаление зубов
Исправление прикуса
Гигиена
Вопросы стоматологу
Анестезия
Кариес
Лечение зубов
Проблемы челюсти
Исправление прикуса
Удаление зубов
Главная
›
fl2
fl2
18.03.2017
Главная